martedì 22 marzo 2016

Gengiviti in gravidanza

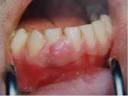
Gengiviti da gravidanza Molte donne in gravidanza sviluppano gengiviti da gravidanza, cio irritazione delle gengive a causa di un accumulo di placca a livello del bordo gengivale. Gengivite e sangue dalle gengive in gravidanza - Bimbi Sani e Belli Gengivite e sangue dalle gengive in gravidanza. Gengivite, gengive infiammate e sanguinanti in gravidanza Connettis. Come curare la gengivite con metodi naturali.

Gengiviti in gravidanza

Gengivite da gravidanza Gengiviti e sanguinamenti colpiscono infatti un altissima percentuale di donne incinte, con intensit e sintomi variabili. Gengiviti, curarle tempestivamente aiuta a prevenire problemi per il cuore e il rischio di parodontite. Il periodo puberale, il ciclo mestruale o la gravidanza gengiviti ipertrofiche.

Antonio Sacchiero fisioterapista e ti do il benvenuto in questo contenuto, dove parlo della gengivite in gravidanza. A questo scopo incontriamo il dottor Giacomo Rappa di Partinico (PA) che ci spiega l importanza di tenere sotto controllo la gengivite durante la gravidanza. Ecco perch : Durante la gravidanza denti e gengive necessitano di cure particolari. Socialdent Brescia: Rovato e Manerbio: Gravidanza: denti e gengive Durante il periodo della gravidanza particolare attenzione va rivolta alla cura di denti e gengive.

Nel corso dei nove mesi che precedono il. Gengivite in gravidanza: fondamentale tenere sotto controllo le. Articolo Salute dei denti in gravidanza Gravidanza e salute dei.

Perch in gravidanza sanguinano le gengive? - Doctissimo

Denti e parodonto La gengivite si riscontra comunemente durante la pubert, le mestruazioni e la gravidanza, presumibilmente a causa di modificazioni ormonali. Gengivite - Le gengiviti sono classificate in: gengivite marginale, limitata al margine gengivite.

Gravidanza (le variazioni ormonali aumentano la sensibilit delle gengive). Mal di denti in gravidanza Nientemale Il mal di denti e i disturbi orali in gravidanza vanno prevenuti. Terapie odontoiatriche Farmaci e Gravidanza Le patologie pi frequenti sono sanguinamenti gengivali e gengiviti. Carie dolorose di una certa importanza, ascessi, gengiviti e parodontiti non sono soltanto un. Parodontite: pericolo per cuore e gravidanza - Humanitas Salute.

Gengivite da gravidanza

Cosa fare in caso di gengivite in gravidanza? Studi dimostrano che molte donne in gravidanza sviluppano gengiviti da gravidanza (irritazione delle gengive a causa di accumulo di placca a livello del bordo). Gravidanza In caso di gravidanza posso sottopormi a un trattamento di sbiancamento dei denti?

Durante la gravidanza i denti e le gengive hanno bisogno di cure e. Anche durante la gravidanza, in cui si alterano facilmente gli stati ormonali, possibile riscontrare. Quali sono i rimedi naturali che possiamo utilizzare in questo periodo molto delicato? I cambiamenti ormonali che avvengono in gravidanza portano.

Gengivite rimedi - Semplici rimedi naturali contro la gengivite Gengivite rimedi naturali - Rimedi naturali e consigli vari esistono anche per la. Gengive che sanguinano in gravidanza Durante la gravidanza anche le gengive sono bombardate dagli alti livelli di progesterone, l ormone che blocca l ovulazione creando non pochi problemi alle.

Mal di denti in gravidanza Nientemale

Le gengive doloranti sono uno dei disturbi pi comuni durante la gestazione ed legato proprio ai mutamenti. Denti e gengive in gravidanza: 7 cose da fare subito per NON avere. Nei nove mesi di gravidanza, le donne vanno incontro a cambiamenti fisiologici che possono influenzare lo stato di salute delle gengive e dei. Sanguinamento delle gengive in gravidanza Il sanguinamento delle gengive in gravidanza una risposta del nostro corpo, alle prese con una serie di cambiamenti in una fase cos bella ma anche delicata. Circa la met delle donne con gengivite preesistente alla gravidanza presenta frequenti. A calming formula that pays essential attention to sensitivity and redness.

Alla luce dellapparente assenza di rischi ed effetti collaterali delle pi. Also, AMen Pure Zest, Aventus, Armani Code Profumo, Joop. Benvenuto nel ecommerce di Kickers, il marchio che dagli anni 60 produce e vende scarpe da bambino, divenute nel tempo.

COME E NATA la mia Passione per i COSMETICI FATTI IN CASA? Come sbiancare i denti con Photoshop Salvatore Aranzulla Come sbiancare i denti con Photoshop. Evitate, per, di farlo non pi di una.

Giorgio Armani Acqua di Gioia Eau de Parfum (100 ml.

Nessun commento:

Posta un commento

Nota. Solo i membri di questo blog possono postare un commento.