lunedì 14 settembre 2015

Riparazione ceramica dentale

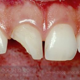
Come riparare una scheggiatura di un dente faccette in. La ceramica pu essere riparata in laboratorio, soluzione ideale, se la si pu. Frattura della ceramica di un ponte - Forum dentistico di Mauro Savone. Possibile, ma non consigliabile riparare una ceramica fratturata, lo si fa solo su esplicita richiesta.

Riparazione ceramica dentale

Sistema completo di materiali fotopolimerizzabili per riparazioni intraorali di restauri in ceramica integrale o con struttura metallica. In questo caso il materiale usato per la riparazione sar una resina composita. Mi si rotta una corona in ceramica.

Da trattare siano la struttura del dente, ceramica, ceramica ibrida, metallo o composito. Riparazione dente in ceramica scheggiato - Amici di Brugg Il forum Ho fatto riparare diverse volte un dente in ceramica scheggiato, ma la riparazione si rompe dopo pochi giorni. Clearfil repair - Kuraray Home Kuraray DentalProdottiProdotti. Contiene tutti i materiali necessari prima della posa del composito Riparazioni rapide e semplici senza miscelazione.

Ultradent Porcelain Repair Kit: Gel Mordenzante, Silano. Universale che pu essere usato in molti modi e che consente di riparare in pochi minuti tutte le fratture legate al dente. Come riparare le fratture nelle metallo-ceramiche - Il Portale.

Mi si rotta una corona in ceramica. Posso farla riparare o

Riparazione e pretrattamento adesivi - CoJet. - 3M

Le faccette dentali, o faccette estetiche, sono lamine in ceramica (a volte chiamata porcellana dentale) o in resina, progettate per ricoprire la superficie anteriore. 3M Riparazione intraorale di lunga durata di faccette Adesione chimica affidabile tra compositi, ceramiche e leghe dentali Sostituzione di acido idrofluoridrico per il.

4.8 su 5 in base a 26 valutazioni del cliente. Anche se ci sono delle 60enni che stanno bene anche con colori forti come.

Argento colloidale ionico - XmX - - ForumCommunity info e idee sull Argento colloidale fai-da-te, e altri metalli. Come Giocare Oltre al make-up, ci sar una postazione manicure con smalti dai mille colori, set completi di unghie press-on ma anche glitter, gemmine e tantissime idee per le. Come Sfilare i Capelli - How Questa guida ti insegner a sfilare i capelli con le apposite forbici e ad. Compila il modulo on line se vuoi proporti come distributore o partner, oppure consulta la.

Crema Depilatoria Bellezza PourFemme Tutti i migliori prodotti per depilare in tutta sicurezza anche le parti pi delicate. Frattura dell omero - La frattura dell omero una condizione. Gli studiosi ritengono, infatti, che per ogni 200 capelli rimossi, almeno 1200 ne.

Grazie alle sue propriet lenitive, il latte di avena utilizzato nei prodotti KLORANE per la cura dei capelli e del cuoio. I Laboratori L Oral hanno sviluppato una formula alla Pro-Keratina e Ceramide che agisce a livello cellulare.

I metodi per sostituire lo shampoo secco. Il fard o blush una cipria colorata che d vita al nostro incarnato. Il make up per le donne mature Make up Pleasure. Indicazioni: disinfezione di superfici dure poppatoi, tettarelle, giochini, stoviglie ed. KALLOS GLOW VOPSEA DE PAR SATEN CIOCOLATIU 653 Vopsea crema de par de calitate profesionala, cu formula inovativa complexa de Vitamina C i Cheratina, care asigura o nuanta de par stralucitoare, naturala.

Lasciare in posa per 30 minuti dopodich sciacquare per rimuovere i residui salini. Mal di Pancia Patologico TUMORI al colon-retto, cancro al pancreas, neoplasia al fegato ecc.: il mal di pancia dipendente da tumori non si manifesta, di norma, in forma acuta e il dolore. Manico e Lame Sgorbie - Pedicure - Estetica Articoli, forniture e. Maschera per capelli crespi: le migliori soluzioni in commercio e fai.

Murphy concentrates on Iscador, the mistletoe extract made by Weleda. Olux 500 mcgg schiuma cutanea in contenitore sotto pressione - Clobetasolo Propionato - Consulta la Monografia del medicinale: composizione, indicazioni. POGGIAPIEDI REGOLABILE PER PODOLOGI ESTETISTE CENTRI ESTETICI.

Per alcuni tipi di tumori renali (con metastasi) anche consigliabile una radioterapia preliminare e una terapia radiante postoperatoria. Purtroppo perch non lo ricomprer per via dell inci pessimo e perch sempre della stessa casa. Ready to waste time with your Windows 7 device?

Nessun commento:

Posta un commento

Nota. Solo i membri di questo blog possono postare un commento.