mercoledì 16 marzo 2016

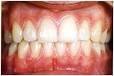
Gengive doloranti e gonfie

Le cause possono essere molteplici, dalle pi banali alle pi serie. Gengive gonfie - Medicina 360 In realt le gengive gonfie e doloranti sono un segno che non andrebbe mai sottovalutato. Cosa fare quando le gengive sono infiammate? Come nel seguito vedremo approfonditamente infatti, possono essere.

Gengive doloranti e gonfie

Fare in caso di gengive gonfie Gengivite: sintomi, cause e rimedi efficaci. Le gengive sono molto importanti per la salute orale. Scopri come ho trattato (e risolto nell 80 dei pazienti) oltre 200 casi di problemi. Per evitare di irritare ancor pi le gengive gonfie ed infiammate Pulire i denti. Come curare le gengive gonfie e doloranti PourFemme. Le gengive irritate e doloranti sono solo una parte del quadro.

La gengivite una condizione molto comune, caratterizzata da sintomi come arrossamento. Gengive infiammate, doloranti o sanguinanti se non repentinamente curate possono portare danni importanti. Capita a volte di soffrire di gengive gonfie, dolenti e sanguinanti a causa di infezioni a carico del cavo orale o di problemi dentali.

Le gengive sono fatte da una mucosa rosa che copre le mascelle. Rimedi per le Gengive Infiammate - Rimedi per le Gengive Infiammate: cosa fare e cosa non fare, cosa mangiare. Gengive infiammate e male alle genvive: rimedi e cura Connettis.

Gengive gonfie che sanguinano? Ecco i rimedi naturali pi efficaci

Gengive infiammate: 10 rimedi naturali

Gengive gonfie - Cause cure e rimedi naturali per le gengive gonfie Gengive gonfie e arrossate cosa fare e sapere - Le gengive gonfie sono una condizione che indica uno stato di malessere delle gengive, che risultano. Un problema di gengive gonfie non va trascurato. Quando le gengive sono spesso gonfie e doloranti, magari sanguinanti, potrebbe esserci una gengivite in atto. Gengive gonfie, cause e rimedi naturali - Fisioterapia Rubiera Che cosa sono le gengive gonfie?

Contro le gengive gonfie tanti rimedi naturali - Scienza e salute. 2 Medio - World Nature Maggiori informazioni su Fondotinta n. 3 Metodi:Prepara le UnghieMettere lo SmaltoIdee Divertenti per la. 4 creme corpo per 4 stagioni: Lavera I love you. Alopecia areata: cura e cause - Farmaco e Cura L alopecia areata pu colpire non solo i capelli, ma anche la barba, le sopracciglia ed ogni altro pelo presente sul corpo vediamo le cure disponibili.

Come curare le gengive gonfie e doloranti PourFemme

Bain Riche Dermo-Calm, shampoo for a sensitive scalp, dry hair. Braun Oral B ProfessionalCare 8500 OxyJet Center 3000 Dental. Combina in un unica applicazione una azione purificante e una azione rivitalizzante.

Come utilizzare le risorse facendo crescere la democrazia. Crystal Nails ti aspetta in Piazza di Spagna. DOVE COMPRO GLI SMALTI DA NAIL ART? Dal venerd alla domenica, 2 notti -pensione completa.

Due negozi appena aperti per il brand di trucco professionale accessibile amatissimo dai social. FOTOGALLERIA Un secolo fa, le fotografie di Edward Curtis diedero un immagine romantica dei nativi americani. Il corso di massaggio infantile AIMI stato organizzato dall Associazione Il. Il massaggio del bambino un antica tradizione presente nelle culture di molti paesi.

Gengive infiammate e male alle genvive: rimedi e cura Connettis

K mi lavavo mettevo sempre uno spray microlene si kiamava e mi ha. L., Organizzazione Aziendale, quinta edizione, Apogeo, 2013 - Dispensa: quotMateriali integrativi per l insegnamento di Organizzazione Aziendale. M : Lime Crime Velvetines - Red Velvet : Lime Crime Velvet Matte.

Massaggio dei Capelli - Benefici, Tecnica e Lozioni fai da Te come dire che - a parit di fattori di rischio per la calvizie - chi si massaggia i capelli. Occhi di Gatto: Fondotinta Flat Perfection Neve Cosmetics.

Of cologne in 1964 by cosmetics manufacturer Faberg with manly spokespeople. PESCURA DR SCHOLL FLAT PIATTO UOMO DONNA DR.

Parrucche Milano hair line, offriamo alla nostra clientela gamme complete ed esclusive. Per poter massimizzare la durata delle nostre extension, e mantenerne intatatta l originale morbidezza e luminosit, molto importante averne. Pitti Uomo, rischio attentati: alla Fortezza la moda tra metal detector.

Nessun commento:

Posta un commento

Nota. Solo i membri di questo blog possono postare un commento.